And that’s exactly why I’m doing this show. Just because IVF is more common does not mean you’re expected to know exactly what it means. No question is a dumb one. I want to start by sharing what IVF means to me.
Dr. Aimee’s definition of IVF = Is Very Fun.
Okay, so maybe it’s not the most fun you could have. It’s hard work. However, I consider it a really efficient way to get pregnant. And that it is worth calling fun. The technology has changed and it makes it an amazing time to be a fertility doctor. There are people I’m helping in 2019 that I may not have been able to help even six years ago.
It also means that if you’ve tried IVF in the past with no success, it may be the time to consider the treatment again. If you determine that’s the case then I encourage you to see a local fertility doctor.
When talking about what IVF is, I think it’s equally as important to be clear about what it is NOT.
Join Dr. Aimee for The IVF ClassIVF will NOT:
- IVF will NOT make you run out of eggs faster or accelerate the onset of the pace of menopause.
When you get eggs retrieved during IVF it doesn’t mean you end up with less total eggs. Some women hear about “10 eggs being retrieved” and wonder if that means they are depleted of their fertility or will go into menopause earlier.
That is not the case.
Let me paint a visual for you. I like to think of egg retrieval like a swimming race. Once a month you have eggs jump into the pool. Typically there’s one egg that wins the race when pregnancy occurs and the other eggs get out of the pool. They do not get to race again.
With IVF all of the eggs get a chance to win the race. It’s why I consider myself an egg rescuer. I’m throwing out little life vests for each of the cute eggs. I’m hoping to give each egg the chance at becoming an embryo to develop into a fetus.
- IVF will NOT cause a baby to have birth defects: there may be a slight increase if people use a procedure called ICSI but more recent studies suggest not.
- IVF will NOT cause cancer.
- IVF will NOT mean autism in a baby: it can be caused by age-related issues, genetics, environmental exposure or a combination of them all.
- IVF will NOT ruin your chances of conceiving naturally later should you try to do so.
- IVF will NOT mean you’ll have an easier chance of getting pregnant (if you’ve done IVF previously).
Trust me, I would love if this were the case, but it’s not. No matter what you’ve heard from your neighbor or friend of a friend, if you’re working with me I want to make sure you know the truth and plan accordingly. Consider how many eggs or embryos you want to have frozen to plan not just for your current IVF cycle, but for future cycles should you need them.
- IVF does NOT make sperm quality less important. What do I mean by this? You still need to pay attention to sperm quality when doing IVF. Sperm ALWAYS matters. Looking at sperm count is great, but I like to do deeper dives into sperm quality if a guy is over 40, has medical problems, drinks, smokes, or is overweight.
- IVF does NOT create designer babies or healthier babies. I can only work with the DNA that people have. I can’t promise someone a baby that’s smarter, a certain gender, or a particular eye color.
These are what I call “IVF myths”. So many times patients come in to see me with inherent bias against IVF. They’ve heard one or more of the myths listed above and it’s my job to educate them.
Quick Biology Overview
Every woman is born with a certain number of eggs. Over time this egg count depletes. The number we start with and the pace at which we lose eggs is based on a combination of factors — genetics, environment, and age.

As a woman, you ovulate one egg each month. With IVF we try and recruit the entire cohort of eggs (more than one) that you start with each month. Our goal is to retrieve multiple eggs and to make them into embryos. Then we put the embryo(s) into the uterus. This procedure is called embryo transfer.
The potential for your eggs to become embryos and for the embryos to result in a successful pregnancy is determined by a few things.
One of which is the quality of your eggs. We look at the following:
- Antral Follicle Count (AFC): the small number of follicles we count in the ovary. This is something your doctor will likely check at your initial visit and then repeat at your baseline ultrasound.

- Anti Mullerian Hormone (AMH): The hormone secreted by cells that surround the eggs. The higher the level the more mature eggs you might have at retrieval. When you know this number along with your FSH and Estradiol level it gives us a good idea of your egg quality.
- FSH & Estradiol Levels on the 3rd day of your cycle
Once I understand how many kids a patient wants, we create a plan. I determine how many cycles of IVF we’ll need in order to get the total number of healthy embryos required.
I’ll set benchmarks like, “this is the number of embryos we expect from your first cycle…” I’ll also determine the likelihood of us needing a second cycle to retrieve enough eggs to create healthy embryos for the family size desired.
If you have a doctor that isn’t telling you these things. Please take the lead in asking these questions!
Ask them:
How many healthy embryos do you think could result from this cycle?
How many cycles do you think I’ll need based on “x” number of kids that I want at the age I’m starting treatment?
I want to make sure that you ask questions during this process so you don’t look back and wonder if you could have done more at a younger age. If you don’t know what’s possible, it’s hard to know what to ask.
I’m not trying to scare you, but inform you when I say that fertility is fleeting. Protect and preserve it when you can.
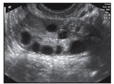
Antral Follicle Count
The way we look at the Antral Follicle Count is through ultrasound. In my office, we use my wand (who I call Wanda). This is also more commonly called a pelvic ultrasound probe. We place this inside the vagina.

It’s worth noting that I like to accommodate everyone’s comfort levels. There are patients that do not like the idea of the pelvic ultrasound probe. They may not have had anything inserted in their vagina, ever. Even a tampon. And that’s okay! For them, I have done an entire IVF cycle and all of the monitoring without a single use of the wand.
I want my patients to be comfortable. You certainly can see the follicles on an abdominal ultrasound. It is just not as easy or exact. But a transvaginal ultrasound is the way to see them quite accurately and that count does translate, for the most part, into the number of follicles (and eggs) that you may be able to grow. However, it does not always correlate with the number of mature eggs you’ll retrieve but knowing your starting number gives you a good idea of what to expect down the line at your next visit.
Life of an Egg

There’s a microscopic egg inside of of the follicles. We hope to get a mature egg fertilized by sperm. Immature eggs might have a chance albeit lower, of getting fertilized. Sometimes you hear about immature eggs. We do not have a way to grow immature eggs outside of the body to become mature and then later get fertilized by sperm. Once we have the egg we have several decisions to make.
Do we freeze it? This would be called egg freezing and without the fertilization part of IVF. Watch this show (Nuts and Bolts of IVF) for all the behind the scenes details in the IVF lab.
For the F part, fertilization. I consider a first step called PICSI. It’s when you take the sperm and put it on a special dish that attracts morphologically normal sperm cells (which usually are the genetically normal ones). Then we pick up those sperm cells (the best looking of the bunch) and put one into each egg. That’s what ICSI is. Intracytoplasmic Sperm Injection.

You can also just bathe an egg with about 100,000 sperm cells or so through a process called IVF.
Fertilized Egg
Once you have a fertilized egg, you watch it grow over time. The day after the egg retrieval is day one.
Day one is when I tell patients how many embryos they have (or fertilized eggs). Then I give them another report. Sometimes this is on day three or day 5.
I talk to my patients about the reports and how I feel about them.

Day 1: This is what the zygote should look like (see above) as a fertilized egg.
Day 3: The embryo should have six cells or more and be around grade one or grade two.
Day 4: We like to see a morula.
Day 5–7: We like to see a blastocyst. This is the point that we freeze them or we transfer them. Typically transfer happens five days after the egg retrieval.
You also have the option of genetically testing a biopsy from the shell (trophectoderm) of the embryo. This biopsy is then sent to a genetic testing company.
The embryos don’t go anywhere. They are frozen at the IVF lab and there is no such thing as freezer burn. They do not continue to grow after they are frozen.
Once in the frozen state, you then get a report back from the genetic testing results (typically 7 days later). This is called PGT -A (previously called PGS). I do a post IVF consult with all my patients reviewing the results and talking about our goals and what we want to do to prepare for transfer.
So what is IVF?
- It’s a great way to preserve your fertility! We talk to people about freezing their eggs but we don’t talk enough about freezing embryos.
An embryo is what gives you the best idea of what the potential of an egg is. You don’t know until you create an embryo. If you’re partnered and over the age of 32 it may be smart to freeze embryos vs. eggs.
- It’s for people with lower egg counts. If you’re older and you’ve already had one baby then give yourself the best chance of pregnancy by freezing embryos.
- It’s for people with one or two blocked fallopian tubes.
- It’s a way to rule out genetic diseases. We like to do genetic screening on couples to make sure they don’t share common mutations. If they do then you can actually test an embryo for the disease. For example, cystic fibrosis is a test that we can do on embryos before we transfer to make sure that embryo isn’t affected by this disease.
- IVF is a great way to get pregnant is you’ve run out of healthy eggs or have gone through menopause already. Why? because we can use donated eggs. If your liver stopped working then you can get a liver donor. Now you can use an egg donor for the same reason — to live your best life and reach your family size goals.
The IVF Calendar
This is a calendar that I create for my patients once they decide to do IVF. I write it down and review in person or on the phone. I want my patients to be able to see what’s going to happen and that they feel all of their questions are answered.
I also should think about creating a sign for the front door of my office that says, “Ask More Questions”. This, along with permission to stop saying sorry. So many people tell me, “Sorry, I just have one more question.” I remind them they don’t need to be sorry for asking questions, and there is no cap to the number of questions they may ask.
Let’s go through this calendar. This is a patient who is going to start their period on Friday. What does that mean? It means that they will think of me! I tell all of my patients that when they start their period to think of me.

On cycle day 1 or day 2 you come in. During this baseline ultrasound, I’ll look at your ovaries and count the number of follicles. I’ll review the protocol I’ve decided to use for you. This includes discussing the side effects of the medications you will be taking, things to look out for, when to call me (which is anytime), and then we also do blood work.
If there is a cyst, if your estrogen level is high, or if I don’t necessarily think that the follicle count that I’m seeing is comparable to the previous follicle counts then you will hear that from me during that appointment. I may not want to move forward until I see better signs of a successful cycle from the beginning. If you do get the green light from me that you’re all clear, then we start injections.
Remember with the baseline appointment you may go in and NOT get the all-clear signal. That could be super disappointing if you didn’t know that was a possibility. It’s important to be flexible and keep in mind that whatever the plan is that it’s supposed to be that way. We just have to keep in mind that your body is amazing and knows what it’s doing all of the time. Your ovaries may have a different timetable than you originally anticipated. That’s okay!
On these monitoring visits sometimes you find that the estrogen level isn’t rising. Or the follicles aren’t growing the way that you want.
This is learning for you and your doctor. Understand how many eggs are growing, if they are happy with the estrogen rise and if they want to still continue with the cycle. You want to avoid IVF disappointment.
What you can expect after the baseline is an injection (subcutaneous in the lower abdomen) every night for approximately ten nights. During that process, you’re coming in for approximately 3–4 monitoring ultrasounds before the egg retrieval. During the ultrasounds, I’m letting you know exactly how many mature eggs I think we’re going to get.
During the process of taking injections, you might get a slight headache, become a bit nauseous, a little bit more emotional, and have egg white cervical mucus.
You’ll want to slow down your activity levels when your doctor tells you. I certainly individualize that with my patients and tell them when to stop exercising completely. It is not a one-size-fits-all rule for everybody.
As you’re coming in for your monitoring ultrasounds, I’ll also let you know the date of the egg retrieval. I do this so you can plan your life around this important procedure. You’ll want to know this date so you can plan to be abstinent and take time off work, etc.
If there’s say ten or more eggs then you might want to have more than one day off after the egg retrieval to recover. For some people, the egg retrieval can be painless as it’s done under anesthesia. But for other people, the cramping and the swelling are a factor after the fact and this may make going to work more uncomfortable.
Imagine this: I’m taking a small needle and going through the vagina on each side. I call it a vaginal puncture site. There’s no stitching or sutures. There’s nothing like that. However, I’m going through each of those black circles that I showed you on the image of the antral follicle.

This can cause bruising of the ovary that can make the ovary swell. That might not feel so good. You might just want to be at home, working from home, and taking Motrin or Tylenol, using a heating pad, and certainly hydrating definitely the day of the retrieval and until you’re feeling better.
Following the egg retrieval, we always have a plan in place for whether we’re going to do a fresh transfer or a frozen embryo transfer. The frozen embryo transfer happens about a month to two months after the egg retrieval and a fresh transfer happens five days later. A pregnancy test then happens eight days later if you transfer fresh. On the transfer day, I ask patients to have that day off and at least the next day off for rest and relaxation.
Egg Retrieval Day
Be sure and watch this show on how to have the best egg retrieval experience. Some of the things I talk about are hydration and having protein shakes set aside. Make sure that you have a heating pad, stool softener and the emergency number for your doctor in case you have severe pain or something you may find is a complication are also all very important.
After egg retrieval, if you’re not transferring the period that comes is usually much heavier than you’re used to. Your period will also come earlier since cells that secrete estrogen and progesterone are being removed with the eggs and you’re not taking hormones after to replace them (for those doing a frozen embryo transfer).
I have patients that call me after getting a period 8 days after the retrieval concerned that something is wrong. I can reassure you it’s very normal for the period to come early and your IVF cycle to be shorter than your normal menstrual cycle.
Talk to your doctor also how to prevent ovarian hyperstimulation syndrome and understand the different strategies that can be used so that you’re not going to have any complications from the procedure.
You also want to know if you’re at risk for OHSS. High estrogen levels and a high number of eggs can make you at risk. This is something to talk to your doctor about. I use a combination of a lupron trigger, Femara for two days starting the night of the retrieval as well as bromocriptine from the night of the trigger shot (last shot before the retrieval) until your period start to help prevent it.
Develop a plan for how you’ll treat unused eggs or embryos
I always ask my patients the same three questions:
- What do you want?
- What will it take to get what you want?
- Are you willing to do what it takes?
Ask these questions before you transfer (and go through this checklist). Maybe you have one embryo from your IVF cycle and you know you want two kids. In that instance maybe it makes sense to hold off on doing a fresh transfer. Instead, you may want to consider doing another cycle so that you can get another embryo to preserve your option for more children.
Maybe you’re having relationship issues. Don’t move forward with a transfer. Take a time-out. Freeze the embryo and then maybe freeze some eggs for yourself before you move forward with anything else.
I’m not going to get into great detail about implantation testing in this post, but I do encourage you to watch my show where I cover that in-depth. I certainly want people to know about these things before they have a negative result or wish they could have done something else to give them the best outcome.
Talk to your doctor about the IVF pyramid and what that means for you.

You hear patients talk about what they lose through the IVF process, but I actually think about it in terms of what you’ve gained.
For instance, let’s say you start off with ten eggs (follicles) and that you have eight of those ten retrieved. As human beings, we think we’ve lost two. Then from the eight that are retrieved then we have six that are fertilized. We again then we have now lost four eggs total. Then you end up with two healthy embryos and do the math thinking you’ve lost eight total eggs since you’ve started.
However, if you change how you think about things and go into it with a different mindset then you think about what you’re gaining along the way. In this example, it can be about how you started with ten and you gained two embryos that you’ve never had before. This is the time to talk to your doctor about the potential for doing another cycle. Are two embryos enough for the family size you desire?
Talk to your doctor and make sure you understand your embryo quality. Embryos are like diamonds in that they have quality scores. I have patients come to me for a second, third, or fourth opinion consult. I ask what the quality of their embryos was and they don’t know because they weren’t aware it was a question they could even ask!
TUSHY Method
The TUSHY check should be the first step every fertility patient takes. It will ensure that you are taking the right path to a healthy pregnancy and baby.

It’s so important to do what we can to give ourselves the best chance at pregnancy. This is true even when we do IVF. Sperm health matters. You’ll have healthier embryos with healthier sperm.
Assemble your Fertility T.E.A.M

So while I think IVF is a lot of fun, it is also a lot of work. Make sure you have your team that can help be your support through the process.
Talking to a Therapist, Exercising and eating, Acupuncture, and Mindfulness and Meditation are all things that can help manage the symptoms and side effects of IVF.
In Summary
Try and find joy in every day of your life so you’re not losing yourself as you’re going through IVF.
Thank you for reading this. I know it was jammed packed with information. There is even more to cover, but this includes the basics of what you need to know.
Regardless of who you are or where you live, my hope is that this helps you go into IVF feeling informed and empowered to ask questions. When you ask questions you help give yourself the best chance at the family you dream about.
As always, please send me a note, email@eggwhisperer.com, if you have any further questions or you’d like to recommend a topic for a future show.

